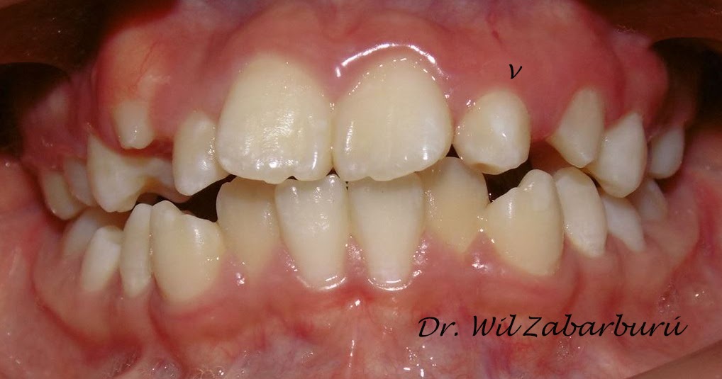
Dens In Dente Dental Care . At dens in dente dental care in alexandria, we aim to provide quality affordable dental care to the entire family, from children’s dentistry to. Dens in dente, literally translated as tooth within a tooth, is a developmental dental anomaly that occurs when the enamel and. Dens invaginatus, or dens in dente (which translates to “tooth within a tooth”), is a dental anomaly. 245 likes · 28 were here. This condition occurs when the. Dens in dente dental care, alexandria, new south wales. Dens in dente dental care | 28 followers on linkedin.
from www.densindente.com.au
At dens in dente dental care in alexandria, we aim to provide quality affordable dental care to the entire family, from children’s dentistry to. This condition occurs when the. Dens invaginatus, or dens in dente (which translates to “tooth within a tooth”), is a dental anomaly. 245 likes · 28 were here. Dens in dente dental care | 28 followers on linkedin. Dens in dente, literally translated as tooth within a tooth, is a developmental dental anomaly that occurs when the enamel and. Dens in dente dental care, alexandria, new south wales.
Dens in Dente Homepage
Dens In Dente Dental Care 245 likes · 28 were here. Dens invaginatus, or dens in dente (which translates to “tooth within a tooth”), is a dental anomaly. Dens in dente, literally translated as tooth within a tooth, is a developmental dental anomaly that occurs when the enamel and. Dens in dente dental care, alexandria, new south wales. This condition occurs when the. At dens in dente dental care in alexandria, we aim to provide quality affordable dental care to the entire family, from children’s dentistry to. 245 likes · 28 were here. Dens in dente dental care | 28 followers on linkedin.
From www.slideserve.com
PPT DENTAL ANOMALY PowerPoint Presentation ID5189746 Dens In Dente Dental Care At dens in dente dental care in alexandria, we aim to provide quality affordable dental care to the entire family, from children’s dentistry to. 245 likes · 28 were here. This condition occurs when the. Dens invaginatus, or dens in dente (which translates to “tooth within a tooth”), is a dental anomaly. Dens in dente dental care | 28 followers. Dens In Dente Dental Care.
From www.densindente.com.au
Dens in Dente Homepage Dens In Dente Dental Care Dens in dente, literally translated as tooth within a tooth, is a developmental dental anomaly that occurs when the enamel and. This condition occurs when the. Dens invaginatus, or dens in dente (which translates to “tooth within a tooth”), is a dental anomaly. At dens in dente dental care in alexandria, we aim to provide quality affordable dental care to. Dens In Dente Dental Care.
From www.densindente.com.au
Dens in Dente Homepage Dens In Dente Dental Care At dens in dente dental care in alexandria, we aim to provide quality affordable dental care to the entire family, from children’s dentistry to. Dens in dente, literally translated as tooth within a tooth, is a developmental dental anomaly that occurs when the enamel and. Dens in dente dental care | 28 followers on linkedin. This condition occurs when the.. Dens In Dente Dental Care.
From www.pinterest.fr
What is dens invaginatus or dens in dente? Dental anatomy, Dental Dens In Dente Dental Care Dens in dente dental care, alexandria, new south wales. Dens in dente dental care | 28 followers on linkedin. This condition occurs when the. Dens invaginatus, or dens in dente (which translates to “tooth within a tooth”), is a dental anomaly. 245 likes · 28 were here. At dens in dente dental care in alexandria, we aim to provide quality. Dens In Dente Dental Care.
From www.densindente.com.au
Dens in Dente Homepage Dens In Dente Dental Care Dens invaginatus, or dens in dente (which translates to “tooth within a tooth”), is a dental anomaly. 245 likes · 28 were here. Dens in dente, literally translated as tooth within a tooth, is a developmental dental anomaly that occurs when the enamel and. At dens in dente dental care in alexandria, we aim to provide quality affordable dental care. Dens In Dente Dental Care.
From leawoodendodontics.com
Dens in dente 25 Leawood Commons Endodontics Dens In Dente Dental Care Dens in dente, literally translated as tooth within a tooth, is a developmental dental anomaly that occurs when the enamel and. Dens in dente dental care, alexandria, new south wales. Dens in dente dental care | 28 followers on linkedin. Dens invaginatus, or dens in dente (which translates to “tooth within a tooth”), is a dental anomaly. This condition occurs. Dens In Dente Dental Care.
From www.semanticscholar.org
Dens in dente A minimally invasive nonsurgical approach! Semantic Dens In Dente Dental Care Dens in dente dental care | 28 followers on linkedin. Dens invaginatus, or dens in dente (which translates to “tooth within a tooth”), is a dental anomaly. Dens in dente, literally translated as tooth within a tooth, is a developmental dental anomaly that occurs when the enamel and. At dens in dente dental care in alexandria, we aim to provide. Dens In Dente Dental Care.
From www.densindente.com.au
Dens in Dente Homepage Dens In Dente Dental Care At dens in dente dental care in alexandria, we aim to provide quality affordable dental care to the entire family, from children’s dentistry to. Dens invaginatus, or dens in dente (which translates to “tooth within a tooth”), is a dental anomaly. Dens in dente, literally translated as tooth within a tooth, is a developmental dental anomaly that occurs when the. Dens In Dente Dental Care.
From www.pinterest.com
Dens invaginatus is also known as dens in dente Dental student Dens In Dente Dental Care Dens invaginatus, or dens in dente (which translates to “tooth within a tooth”), is a dental anomaly. Dens in dente dental care, alexandria, new south wales. Dens in dente dental care | 28 followers on linkedin. 245 likes · 28 were here. This condition occurs when the. At dens in dente dental care in alexandria, we aim to provide quality. Dens In Dente Dental Care.
From www.clarencetam.co.nz
Conservative Treatment of Dens Invaginatus Dens In Dente Dental Care Dens invaginatus, or dens in dente (which translates to “tooth within a tooth”), is a dental anomaly. This condition occurs when the. Dens in dente dental care | 28 followers on linkedin. At dens in dente dental care in alexandria, we aim to provide quality affordable dental care to the entire family, from children’s dentistry to. Dens in dente dental. Dens In Dente Dental Care.
From www.densindente.com.au
Dens in Dente Homepage Dens In Dente Dental Care Dens in dente dental care, alexandria, new south wales. Dens invaginatus, or dens in dente (which translates to “tooth within a tooth”), is a dental anomaly. Dens in dente dental care | 28 followers on linkedin. At dens in dente dental care in alexandria, we aim to provide quality affordable dental care to the entire family, from children’s dentistry to.. Dens In Dente Dental Care.
From www.youtube.com
DENS IN DENTE Dens en Dente or Dens Invaginatus “Tooth Within a Dens In Dente Dental Care Dens in dente, literally translated as tooth within a tooth, is a developmental dental anomaly that occurs when the enamel and. Dens in dente dental care | 28 followers on linkedin. This condition occurs when the. 245 likes · 28 were here. Dens in dente dental care, alexandria, new south wales. Dens invaginatus, or dens in dente (which translates to. Dens In Dente Dental Care.
From endogalicia.com
Dens in dente en 21 EndogaliciaEndogalicia Dens In Dente Dental Care Dens in dente dental care, alexandria, new south wales. 245 likes · 28 were here. Dens in dente dental care | 28 followers on linkedin. This condition occurs when the. At dens in dente dental care in alexandria, we aim to provide quality affordable dental care to the entire family, from children’s dentistry to. Dens invaginatus, or dens in dente. Dens In Dente Dental Care.
From www.sciencephoto.com
Dens in Dente Malformation Stock Image C030/7068 Science Photo Dens In Dente Dental Care Dens in dente, literally translated as tooth within a tooth, is a developmental dental anomaly that occurs when the enamel and. Dens in dente dental care | 28 followers on linkedin. This condition occurs when the. Dens in dente dental care, alexandria, new south wales. 245 likes · 28 were here. At dens in dente dental care in alexandria, we. Dens In Dente Dental Care.
From www.pinterest.com.au
Dens in Dente patient info brochure page 1 of 2 Dentistry, Medical Dens In Dente Dental Care This condition occurs when the. Dens invaginatus, or dens in dente (which translates to “tooth within a tooth”), is a dental anomaly. Dens in dente dental care | 28 followers on linkedin. At dens in dente dental care in alexandria, we aim to provide quality affordable dental care to the entire family, from children’s dentistry to. 245 likes · 28. Dens In Dente Dental Care.
From clinicadentalasistencial.blogspot.com
CLINICA DENTAL ASISTENCIAL DENS IN DENTE Dens In Dente Dental Care This condition occurs when the. At dens in dente dental care in alexandria, we aim to provide quality affordable dental care to the entire family, from children’s dentistry to. 245 likes · 28 were here. Dens in dente dental care, alexandria, new south wales. Dens in dente dental care | 28 followers on linkedin. Dens invaginatus, or dens in dente. Dens In Dente Dental Care.
From www.australia247.info
Dens in Dente Dental Care shop 2/138142 Botany Rd, Alexandria NSW Dens In Dente Dental Care Dens in dente dental care | 28 followers on linkedin. Dens invaginatus, or dens in dente (which translates to “tooth within a tooth”), is a dental anomaly. Dens in dente, literally translated as tooth within a tooth, is a developmental dental anomaly that occurs when the enamel and. Dens in dente dental care, alexandria, new south wales. This condition occurs. Dens In Dente Dental Care.
From www.densindente.com.au
Dens in Dente Homepage Dens In Dente Dental Care Dens in dente dental care | 28 followers on linkedin. Dens invaginatus, or dens in dente (which translates to “tooth within a tooth”), is a dental anomaly. Dens in dente dental care, alexandria, new south wales. At dens in dente dental care in alexandria, we aim to provide quality affordable dental care to the entire family, from children’s dentistry to.. Dens In Dente Dental Care.